- 등록일2025.02.05
- 조회수2,658
고양이 장염

365일 24시간 함께하는 동물 병원 잠실ON동물의료센터입니다. 오늘은 고양이 장염에 대한 이야기입니다.
고양이 구토와 설사
고양이에서 구토, 설사와 같은 소화기 증상을 유발할 수 있는 흔한 원인으로는 감염, 기생충, 이물 섭취, 식이 반응성 또는 다양한 전신 질환이 있습니다. 특히 어린 고양이에서 심한 소화기 증상은 쉽게 탈수, 저혈당 등의 위험한 상황을 유발할 수 있어 증상이 지속될 경우 빠르게 동물 병원을 내원하는 게 중요합니다.
미슈 중성화 여아, 7개월령 어린 고양이입니다. 하루 전부터 기력이 저하되고 새벽 사이 10회 가량의 반복적인 구토 증상과 설사 증상을 보여 잠실ON동물의료센터에 내원했습니다.
식욕도 떨어져 좋아하던 츄르조차 전혀 먹지 않는 상태였는데요, 병원에 내원했을 당시 경미한 탈수 증상을 동반하고 있었습니다. 문진 상 미슈는 이틀 전쯤 사람 음식을 섭취한 이력이 있었습니다. 그 외 다른 원인에 대한 감별을 위해 신체검사, 혈액검사, 방사선 및 초음파 검사, 분변 검사가 시행되었습니다.
[ 검사와 진단 ]



혈액검사 상에서 특별한 이상 소견이 발견되지 않았으나, 분변 검사 상에서 소량의 병원성 세균이 확인되었습니다.



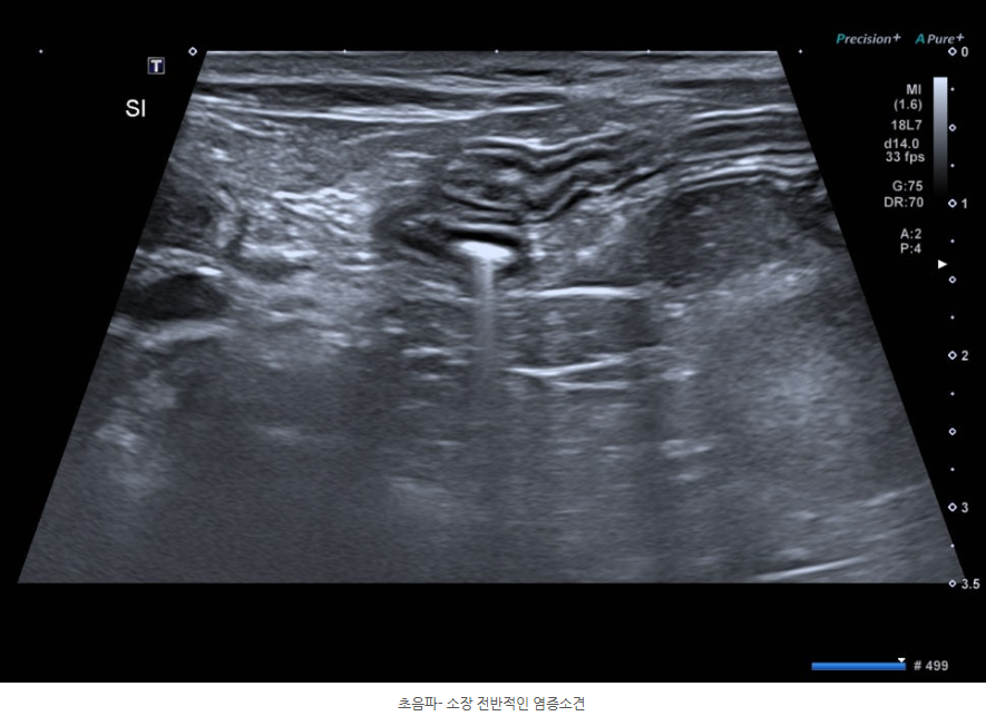
복부 초음파 검사 상에서는 대장 내 다량의 수양성 변과 소장의 전반적인 염증 소견이 확인되었습니다.

어린 나이이기 때문에 다양한 바이러스, 기생충, 세균 감염에 대한 확인을 위해 분변을 이용한 PCR 검사가 진행되었습니다.
분변 PCR 검사 상에서 고양이 코로나바이러스와 장 내 독소를 형성하는 병원성 세균인 클로스트리디움(clostridium)의 감염이 확인되었습니다.
미슈는 바이러스 및 세균의 감염과 식이 변화에 의한 장염으로 진단되었으며 심한 물 설사와 식욕 저하를 개선하기 위해 입원 처치를 결정했습니다.
[ 입원 처치 ]
처음 입원 당시 물 설사 증상 보이는 미슈
처음 입원했을 때 미슈는 식욕이 없어 음식을 전혀 먹지 않고, 구토와 심한 물 설사 증상을 보였습니다.
탈수 교정을 위한 수액 처치, 항생제, 항구토제 처치가 시작되었고, 식욕 부진이 계속될 경우 저혈당 및 위장관 회복 저하를 보일 수 있어 유동식을 만들어서 천천히 급여를 시작했습니다.
약 5일간의 입원을 하며 미슈는 점점 형태가 잡힌 배변을 하기 시작했고, 곧 스스로 조금씩 밥을 먹기 시작했습니다.


장 상태를 재검하기 위한 복부 초음파에서도 이전에 보이던 대장 내 변의 경도가 증가하고 소장의 염증 소견이 해소된 것을 확인할 수 있었습니다.

미슈는 병원에서
스스로 밥도 잘 먹고
정상 배변을 확인하고 퇴원
할 수 있었는데요,
이제는 집에서도 밥을 잘 먹고, 배변도 잘 하며 건강하게 지내고 있습니다.
- 진료예약: 02-418-0724
- 홈페이지: 24onamc.com
- 인스타그램: @24onamc
- 카카오톡 채널 채팅상담: 잠실on동물의료센터 검색 후 채널 추가
마음까지 배려하는 24시 동물병원
잠실ON동물의료센터
- 이전글 이전 글이 없습니다.
- 고양이 이물 섭취, 장 절개 수술 후기