- 등록일2022.11.30
- 조회수9,602

심한 호흡곤란 증상으로
지역병원에서 의뢰해서 잠실온에 내원한
강아지의 건삭파열 치료후기 입니다.
전날까지만 해도 식욕, 활력 양호하게 잘 지냈는데 오늘 아침부터 갑자기 바닥에 엎드려서 움직이지 않고 기운이 없으며 심각한 호흡곤란을 보였다고 합니다. 본원에 오기 전 지역병원 방사선 상에서 광범위한 폐침윤이 확인된 상황입니다.
<내원 당시 신장수치, 전해질>
<내원당시, 극심한 호흡곤란과 Orthopnea형태의 호흡양상, 입에서 분홍색 객담 분출>
이 환자는 내원 당시 분당 호흡수가 60회 이상의 빈 호흡과, 분홍색 객담이 입에서 나오고 있었습니다. 호흡 양상은 심각한 호흡곤란 환자에서 볼 수 있는 기좌호흡(orthopnea: 고개를 들고 앞다리를 벌리고 호흡하는 자세)을 보였습니다.
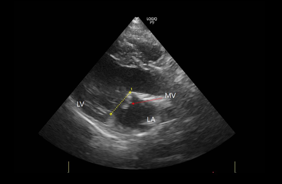
<이첨판막의 변성 및 과도한 움직임>
<좌심방 확장 소견은 보이지 않음>
청진상 심잡음은 grade4 정도로 측정되어 심인성 폐수종 가능성이 높게 고려되었습니다. 환자 호흡의 안정화를 위해 최소한의 검사만 진행하고 혈관확장제, 이뇨제 등의 응급처치 이후 산소방에 입원시킨 후 무리한 검사는 진행하지 않았고, 흉부방사선상 폐수종으로 의심되는 침윤 소견 확인되나 심장 확장은 보이지 않은 상태였습니다.
<응급처치 이후 안정화 된 호흡, 그러나 여전히 빠른 편>
다음날 수면호흡수 40회 미만으로 안정화 및 호흡 양상이 개선되어 보다 정밀하게 진단하기 위해 추가 검사를 진행했습니다. 심장초음파상 이첨판막의 심한 변성과 함께 수축기에 이첨판이 좌심방 쪽으로 심하게 꺾이는 prolapse 소견을 보였으며 이는 이첨판막을 지지해 주는 건삭의 파열을 의심하게 했습니다.
심장초음파 소견과 함께 환자의 경우 별다른 증상 없이 갑자기 호흡곤란이 나타났다는 점을 고려하여 Partial chordae tendineae rupture(건삭 부분 파열)로 진단하였습니다.
※ 일반적으로 강아지에서 흔한 심장병인 이첨판막폐쇄부전증(MMVD)의 경우
질병이 진행됨에 따라 운동불내성, 호흡곤란, 식욕/활력 저하 등의 증상이 서서히 나타나게 되며 폐수종이 진행되기 전에 좌심방확장이 선행되는 경우가 많지만,
※ 건삭파열로 인한 폐수종의 경우
특별한 징후 없이 갑작스러운 호흡곤란이 나타나게 되며 종종 좌심방 확장 없이 폐수종으로 진행되는 경우가 있어 감별이 필요합니다.
또한 건삭파열로 인한 폐수종은 일반적인 MMVD에서의 폐수종보다 이뇨제에 대한 반응이 떨어지기 때문에 고용량의 이뇨제 투여가 불가피한 경우가 많습니다.
<호흡 개선 후 흉부 방사선: 이전과 비교하여 폐수종 현저히 개선되었음>
<입원 처치 이후 호흡이 안정화 됨>
다행히 이 아이의 경우 혈액검사상 신장 기능은 정상으로 확인되어, 고용량의 이뇨제 사용에 큰 부담이 없었습니다. 이후 호흡수, 호흡양상, 컨디션 모두 빠르게 개선되어 입원 4일차에 퇴원하게 되었습니다.
※ 보호자 전달사항 안내
- 건삭파열환자는 일반적인 MMVD환자보다 예후가 좋지 않으며, 이후 폐수종이 재발할 수 있음
- 과도한 산책이나 운동은 피해야 하며 흥분, 스트레스를 받지 않게 신경 써주셔야 함
- 집에서 호흡수 측정하여 폐수종 조기 진단할 수 있도록 알려드림
- 잘 때 호흡수 40회 이상이면 반드시 병원에 내원하셔야 함
- 심장질환에 준하여 처방된 이뇨제는 장기간 복용 시 또는 용량에 따라 신장기능 저하와 함께 전해질 불균형을 유발할 수 있어 정기적인 혈액검사 모니터링을 요함
퇴원 후 이뇨제 투여에 따른 신장기능/전해질 평가를 위해 일주일 뒤 내원하였고, 보호자님 말씀으로는 아픈 아이 같지 않다고 하시면서 그동안 문진상 호흡, 컨디션 너무 양호하게 잘 지냈다고 하셨습니다.
이 아이는 이제 지역병원에서 follow-up 하기로 하고 본원에서의 치료는 종료되었습니다.
잠실ON동물의료센터는 송파구 잠실에 위치한 2차진료가 가능한 중증질환 수술 전문 동물병원입니다.
- 진료예약: 02-418-0724
- 홈페이지: 24onamc.com